MEDICAL CASE症例集
Scroll
歯のデコボコ矯正の治療症例解説–全体矯正–19歳以下
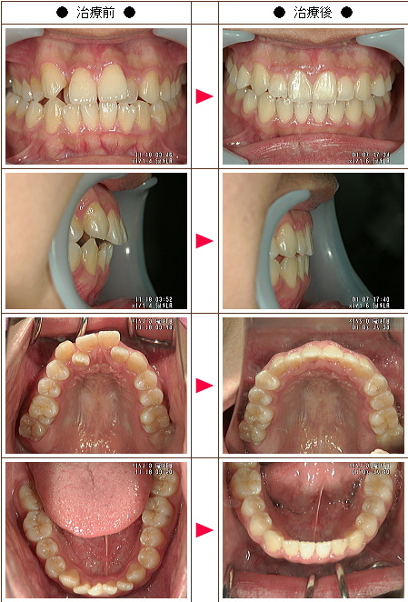
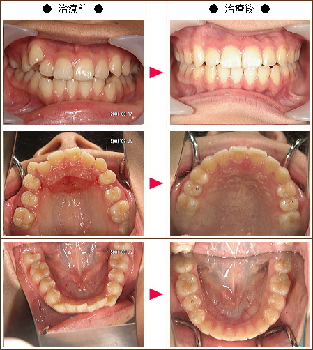
歯のデコボコ矯正症例[北澤様 15歳 男性]

| 主訴 | 上下の前歯のでこぼこ、不定愁訴 |
|---|---|
| 治療方法 | ワイヤー8か月 マウスピース5か月 |
| 治療期間 | 13カ月 |
| 費用(税込み) | 上下ともメタルブラケット132万円 |
| 治療等の主なリスク、副作用 | 右上の引っ込んでいる歯の歯茎側のところには軽度の段差が残ります |
| 治療詳細 | ワイヤーで歯列弓を大きくして、奥歯を後方に動かして凸凹を改善し、マウスピースで細かい箇所を改善していきます。 頭痛、肩こりなどの体調不良も改善しています |
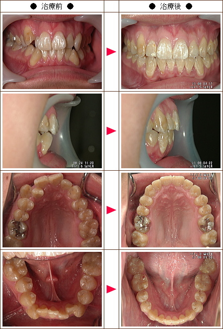
歯のデコボコ矯正症例[T.M.様 19歳 男性]

| 主訴 | 前歯のでこぼこ |
|---|---|
| 治療方法 | ワイヤー7か月 マウスピース5か月 |
| 治療期間 | 12カ月 |
| 費用(税込み) | 上セラミックブラケット、下メタルブラケット137万5千円 |
| 治療等の主なリスク、副作用 | 右上の引っ込んでいる歯の歯茎側のところには軽度の段差が残ります。下顎にブラックトライアングルが残る可能性があります |
| 治療詳細 | 上下ともにワイヤーで歯列弓を大きくして、奥歯を後方に動かして、前歯の凸凹を改善し、後半はマウスピースで細かい箇所を改善していきます。 |
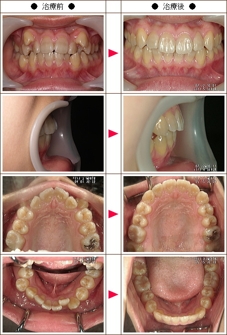
歯のデコボコ矯正症例[ERINA様 14歳 女性]

| 主訴 | 前歯のでこぼこ、八重歯 |
|---|---|
| 治療方法 | ワイヤー7か月 マウスピース6か月 |
| 治療期間 | 12カ月 |
| 費用(税込み) | メタルブラケット132万円 |
| 治療等の主なリスク、副作用 | 上顎の犬歯の歯頚部は歯肉が薄いので、将来的に歯肉退縮が起こる可能性があります |
| 治療詳細 | クワドヘリックスとワイヤーで歯列弓を大きくして、MEAWワイヤーで奥歯を後方に動かしてできた隙間を利用して左右の八重歯を改善し、マウスピースで細かい箇所を改善していきます。 |
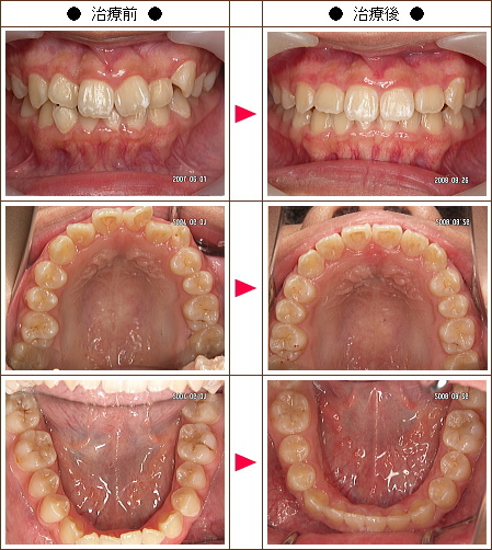
歯のデコボコ矯正症例[T.M.様 17歳 男性]

| 主訴 | 前歯のでこぼこ |
|---|---|
| 治療方法 | ワイヤー5か月 マウスピース6か月 |
| 治療期間 | 11カ月 |
| 費用(税込み) | メタルブラケット121万円 |
| 治療等の主なリスク、副作用 | オーバーバイトは残ります |
| 治療詳細 | クワドヘリックスで歯列弓を大きくして、MEAWワイヤーで奥歯を後方に動かしてできた隙間を利用して前歯のでこぼこを改善していきます。 |
歯のデコボコ矯正症例[友紀様 17歳 女性]

| 主訴 | 右上上の八重歯 |
|---|---|
| 治療方法 | ワイヤー5か月 マウスピース7か月 |
| 治療期間 | 12カ月 |
| 費用(税込み) | 上下セラミックブラケット130万2千円 |
| 治療等の主なリスク、副作用 | オーバーバイトは残ります |
| 治療詳細 | クワドヘリックスで歯列弓を大きくして、MEAWワイヤーで奥歯を後方に動かしてできた隙間を利用して前歯のでこぼこを改善していきます。 |
歯のデコボコ矯正症例[A.H.様 14歳 女性]

| 主訴 | 右上の八重歯 |
|---|---|
| 治療方法 | ワイヤー5か月 マウスピース6か月 |
| 治療期間 | 11カ月 |
| 費用(税込み) | メタルブラケット121万円 |
| 治療等の主なリスク、副作用 | 顎偏位なので正中は一致しません |
| 治療詳細 | 前医院で上顎の床矯正治療をしていたが一向に治らないということで、転院して当クリニックに来院されたので、奥歯に大きな隙間が残っています。ワイヤーで前歯のでこぼこを改善して歯列弓を広げて奥歯を後方に移動して、マウスピースで細かい箇所を修正しました。 |
