MEDICAL CASE症例集
Scroll
歯のデコボコ矯正の治療症例解説–全体矯正–20歳から39歳まで
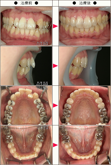
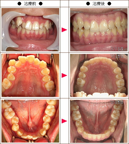
歯のデコボコ矯正症例[S.I.様 34歳 女性]

| 主訴 | 上下の前歯のでこぼこ |
|---|---|
| 治療方法 | ワイヤー7か月 マウスピース6か月 |
| 治療期間 | 13カ月 |
| 費用(税込み) | 121万円 |
| 治療等の主なリスク、副作用 | 奥歯を親知らずの方向に動かすために親知らずの抜歯は必須になります 下顎の前歯のブラックトライアングルの改善のために、下の前歯の隣接面を削りました |
| 治療詳細 | ワイヤー矯正で奥歯を外側に広げて、親知らずの方向に移動して、できたスペースを利用してマウスピースで前歯を中に入れました |
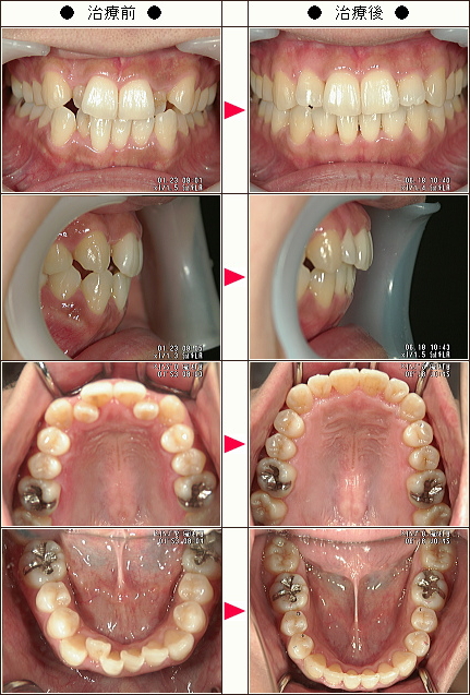
歯のデコボコ矯正症例[AYA様 31歳 女性]

| 主訴 | 上下の前歯のデコボコ |
|---|---|
| 治療方法 | ワイヤー6か月 マウスピース6か月 |
| 治療期間 | 12カ月 |
| 費用(税込み) | 121万円 |
| 治療等の主なリスク、副作用 | 奥歯を親知らずの方向に動かすために親知らずの抜歯は必須になります 下顎の前歯のブラックトライアングルの改善のために、下の前歯の隣接面を削りました |
| 治療詳細 | ワイヤー矯正で奥歯を外側に広げて、親知らずの方向に移動して、できたスペースを利用してマウスピースで前歯を中に入れました |
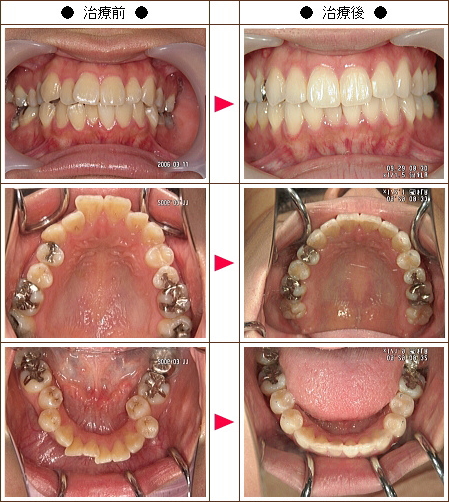
歯のデコボコ矯正症例[A.W.様 21歳 女性]

| 主訴 | 上下の前歯のデコボコと出っ歯 |
|---|---|
| 治療方法 | ワイヤー5か月 マウスピース6か月 |
| 治療期間 | 11カ月 |
| 費用(税込み) | 121万円 |
| 治療等の主なリスク、副作用 | 奥歯を親知らずの方向に動かすために親知らずの抜歯は必須になります |
| 治療詳細 | ワイヤー矯正で奥歯を外側に広げて、親知らずの方向に移動して、できたスペースを利用してマウスピースで前歯を中に入れました |
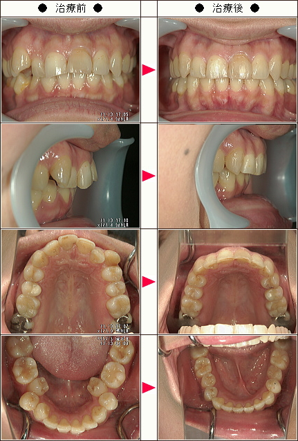
歯のデコボコ矯正症例[I.K.様 35歳 女性]

| 主訴 | 上下の前歯と奥歯のデコボコ |
|---|---|
| 治療方法 | ワイヤー8か月 マウスピース6か月 |
| 治療期間 | 14カ月 |
| 費用(税込み) | 132万円 |
| 治療等の主なリスク、副作用 | 奥歯を親知らずの方向に動かすために親知らずの抜歯は必須になります |
| 治療詳細 | ワイヤー矯正で奥歯を外側に広げて、親知らずの方向に移動して、できたスペースを利用して倒れている奥歯を引っ張り出します。マウスピースで細かい部分を動かしていきます。 |
歯のデコボコ矯正症例[K.T.様 22歳 男性]

| 主訴 | 上下の前歯と奥歯のデコボコ |
|---|---|
| 治療方法 | マウスピース19か月 |
| 治療期間 | 19カ月 |
| 費用(税込み) | 上下セラミックブラケット130万2千円 |
| 治療等の主なリスク、副作用 | 前歯の出っ張りを改善するために歯の隣接部分を削ることもあります |
| 治療詳細 | マウスピース矯正で奥歯を外側に広げて、親知らずの方向に移動して、できたスペースを利用して前歯のデコボコを直すように動かしていきます。 |
