MEDICAL CASE症例集
Scroll
歯のデコボコ矯正の治療症例解説–全体矯正–40歳以上
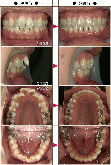
歯のデコボコ矯正症例[しまさん様 男性]

| 主訴 | 前歯のでこぼこ |
|---|---|
| 治療方法 | |
| 治療期間 | 14カ月 |
| 費用(税込み) | 77万円 |
| 治療等の主なリスク、副作用 | 下顎のブラックトライアングルの改善のためには、前歯の隣接面を削ることがあります |
| 治療詳細 | マウスピースで歯列弓を広げて、前歯の隣接面を少し削ってスペースを確保して前歯のデコボコを改善した |
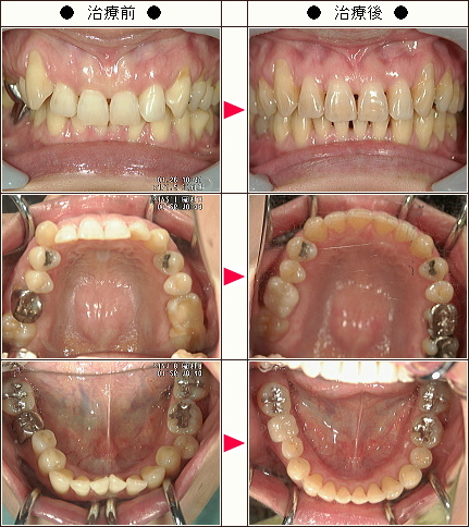
歯のデコボコ矯正症例[MJ様 47歳 女性]

| 主訴 | 八重歯 |
|---|---|
| 治療方法 | |
| 治療期間 | 10カ月 |
| 費用(税込み) | 77万円 |
| 治療等の主なリスク、副作用 | 歯周病の方の矯正治療ではブラックトライアングルが残ることが多いです |
| 治療詳細 | マウスピースで歯列弓を広げて、前歯のデコボコを改善した |
