MEDICAL CASE症例集
Scroll
歯のデコボコ矯正の治療症例解説–部分矯正–20歳から39歳まで
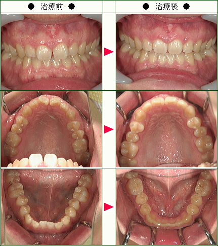
歯のデコボコ矯正症例[24歳 男性]

| 主訴 | 前歯の隙間と上下の前歯のデコボコ |
|---|---|
| 治療方法 | マウスピース矯正 |
| 治療期間 | 6カ月 |
| 費用(税込み) | 44万円 |
| 治療等の主なリスク、副作用 | 部分矯正では前歯のIPRは必須になります |
| 治療詳細 |
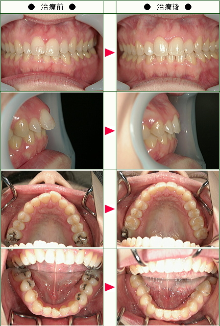
歯のデコボコ矯正症例[HANA様 34歳 女性]

| 主訴 | 上下の前歯のデコボコ |
|---|---|
| 治療方法 | マウスピース矯正 |
| 治療期間 | 4カ月 |
| 費用(税込み) | 44万円 |
| 治療等の主なリスク、副作用 | 部分矯正では前歯のIPRは必須になります |
| 治療詳細 |
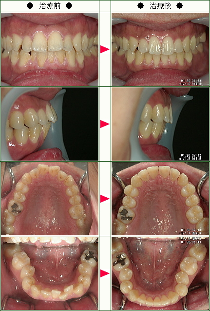
歯のデコボコ矯正症例[T様 32歳 男性]

| 主訴 | 上下の前歯のデコボコと出っ歯 |
|---|---|
| 治療方法 | マウスピース矯正 |
| 治療期間 | 6カ月 |
| 費用(税込み) | 55万円 |
| 治療等の主なリスク、副作用 | 下顎の前歯は上顎前歯と当たらないようにするためにIPRは多めになります |
| 治療詳細 |
