MEDICAL CASE症例集
Scroll
出っ歯矯正の治療症例解説–全体矯正–19歳以下
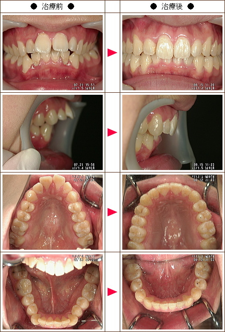
出っ歯矯正症例[ハルナ様 16歳 女性]

| 主訴 | 前歯の出っ歯 |
|---|---|
| 治療方法 | マウスピース矯正 |
| 治療期間 | 11カ月 |
| 費用(税込み) | 88万円 |
| 治療等の主なリスク、副作用 | 歯並びは90度になりましたが、非抜歯矯正ではEラインは変わりません |
| 治療詳細 | マウスピースでV字型の歯列弓をU字型に広げて奥歯も後方に動かしてできた隙間を利用して前歯を中に入れていった |
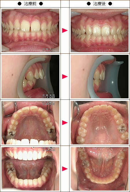
出っ歯矯正症例[宮地様 18歳 女性]

| 主訴 | 前歯の出っ歯とデコボコ |
|---|---|
| 治療方法 | マウスピース矯正 |
| 治療期間 | 13カ月 |
| 費用(税込み) | 88万円 |
| 治療等の主なリスク、副作用 | 歯並びは90度になりましたが、抜かない矯正ではEラインは変わりません 下顎が後方に下がっているため前歯のオーバージェットは残ります |
| 治療詳細 | マウスピースでV字型の歯列弓をU字型に広げて奥歯も後方に動かしてできた隙間を利用して前歯を中に入れていった |
出っ歯矯正症例[たけし様 18歳 男性]

| 主訴 | 前歯の出っ歯とデコボコ |
|---|---|
| 治療方法 | ワイヤー矯正5か月 マウスピース矯正6か月 |
| 治療期間 | 11カ月 |
| 費用(税込み) | メタルワイヤー 121万円 |
| 治療等の主なリスク、副作用 | 並びは90度になりましたが、抜かない矯正ではEラインは変わりません 下顎が後方に下がっているため前歯のオーバージェットは残ります |
| 治療詳細 | ワイヤー矯正でV字型の歯列弓をU字型に広げて奥歯も後方に動かして、前歯を中に入れていった |
出っ歯矯正症例[C.T.様 15歳 女性]

| 主訴 | 前歯の出っ歯 |
|---|---|
| 治療方法 | マウスピース矯正 |
| 治療期間 | 11カ月 |
| 費用(税込み) | 88万円 |
| 治療等の主なリスク、副作用 | 歯並びは90度になりましたが、抜かない矯正では骨格的なEラインは変わりません |
| 治療詳細 | マウスピースでV字型の歯列弓をU字型に広げて奥歯も後方に動かしてできた隙間を利用して前歯を中に入れていった |
出っ歯矯正症例[伊藤様 19歳 女性]

| 主訴 | 前歯の出っ歯 |
|---|---|
| 治療方法 | マウスピース矯正 |
| 治療期間 | 11カ月 |
| 費用(税込み) | 88万円 |
| 治療等の主なリスク、副作用 | 歯並びは90度になりますが、抜かない矯正では骨格的なEラインは変わりません |
| 治療詳細 | マウスピースでV字型の歯列弓をU字型に広げて奥歯も後方に動かしてできた隙間を利用して前歯を中に入れていった |
