MEDICAL CASE症例集
Scroll
出っ歯矯正の治療症例解説–全体矯正–20歳から39歳まで
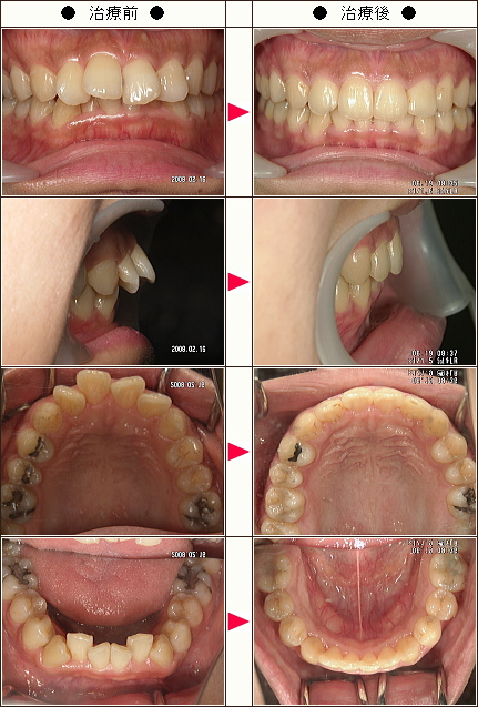
出っ歯矯正症例[R.N.様 31歳 女性]

| 主訴 | 前歯のデコボコと出っ歯 |
|---|---|
| 治療方法 | ワイヤー矯正6か月 マウスピース矯正6か月 |
| 治療期間 | 12カ月 |
| 費用(税込み) | セラミックブラケット136万4千円 |
| 治療等の主なリスク、副作用 | 下顎のブラックトライアングル改善のためには歯の隣接面を削ります |
| 治療詳細 | ワイヤーで歯列弓を広げて奥歯を後方に動かして前歯を中に入れていった |
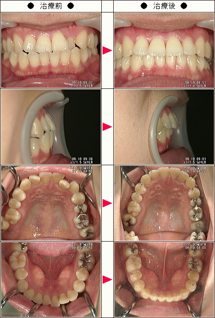
出っ歯矯正症例[Y子様 30歳 女性]

| 主訴 | 前歯の出っ歯と受け口 |
|---|---|
| 治療方法 | マウスピース矯正 |
| 治療期間 | 14カ月 |
| 費用(税込み) | 88万円 |
| 治療等の主なリスク、副作用 | 歯ぎしりが強いので矯正後も保定を継続しないと後戻りのリスクがあります |
| 治療詳細 | 歯列弓を広げて奥歯を後方に動かして前歯の被蓋を改善した |
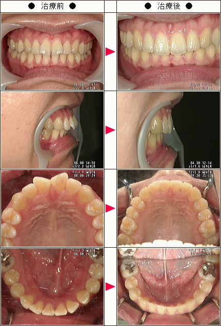
出っ歯矯正症例[山田様 32歳 女性]

| 主訴 | 前歯の出っ歯 |
|---|---|
| 治療方法 | マウスピース矯正 |
| 治療期間 | 12カ月 |
| 費用(税込み) | 88万円 |
| 治療等の主なリスク、副作用 | 下顎が少し後退しているため前歯のオーバージョットは少し残ります |
| 治療詳細 | 歯列弓を広げて奥歯を後方に動かして歯の隣接面を削るIPRの併用して前歯を90度迄中に入れた |
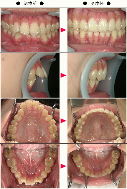
出っ歯矯正症例[クッキー様 22歳 女性]

| 主訴 | 前歯の出っ歯 |
|---|---|
| 治療方法 | マウスピース矯正 |
| 治療期間 | 13カ月 |
| 費用(税込み) | 88万円 |
| 治療等の主なリスク、副作用 | 前歯の角度は90度になりますが、骨格は抜歯や外科矯正でないと変化はありません |
| 治療詳細 | 歯列弓を広げて奥歯を後方に動かして歯の隣接面を削るIPRの併用して前歯を90度迄中に入れた |
出っ歯矯正症例[N.I.様 34歳 女性]

| 主訴 | 前歯の出っ歯と右下奥歯が1本倒れている |
|---|---|
| 治療方法 | ワイヤー矯正6か月 マウスピース矯正5か月 |
| 治療期間 | 11カ月 |
| 費用(税込み) | メタルワイヤーでトータル121万円 |
| 治療等の主なリスク、副作用 | 倒れている奥歯を起こすためにはマウスピースだけでの矯正治療では治療期間が長くなります |
| 治療詳細 | ワイヤーで歯列弓を広げて奥歯を後方に動かして倒れている歯を入れるスペースを確保します。 前歯も90度迄中に入れた |
