MEDICAL CASE症例集
Scroll
受け口矯正の治療症例解説–全体矯正–20歳から39歳まで
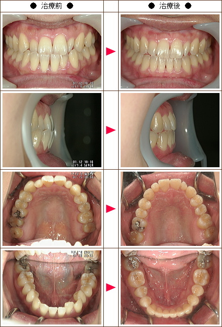
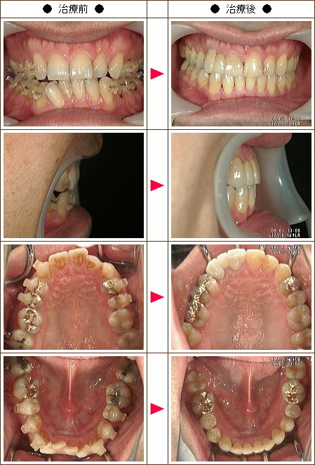
受け口矯正症例[Y.N.様 36歳 女性]

| 主訴 | 受け口 |
|---|---|
| 治療方法 | ワイヤー5か月 マウスピース6か月 |
| 治療期間 | 11カ月 |
| 費用(税込み) | 上下ともメタルブラケット104万5千円 |
| 治療等の主なリスク、副作用 | 下顎の右側方向への顎偏位の為正中は完全には一致しません |
| 治療詳細 | ワイヤーで歯列弓を大きくして、奥歯を後方に動かして上下の前歯の関係を改善し、マウスピースで細かい箇所を改善していきます。 |
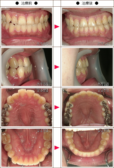
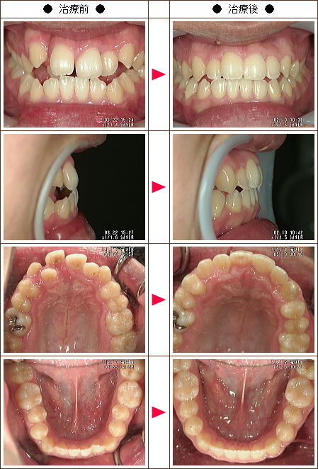
受け口矯正症例[芹澤様 29歳 男性]

| 主訴 | 受け口 |
|---|---|
| 治療方法 | マウスピース矯正 |
| 治療期間 | 12カ月 |
| 費用(税込み) | 77万円 |
| 治療等の主なリスク、副作用 | 前歯の改善で下の歯は内側に傾斜します |
| 治療詳細 | マウスピースで下顎の奥歯を後方に動かしながら、奥歯の関係を改善し下顎の前歯を内側に倒して、最終的に受け口を改善していきます。 |
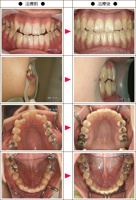
受け口矯正症例[ZOE様 39歳 女性]

| 主訴 | 受け口 |
|---|---|
| 治療方法 | マウスピース矯正 |
| 治療期間 | 15カ月 |
| 費用(税込み) | 88万円 |
| 治療等の主なリスク、副作用 | 下顎を後方に引っ張るために矯正中は顎間ゴムを使用していただきます |
| 治療詳細 | マウスピースで下顎の奥歯を後方に動かしながら(顎間ゴムを使用)奥歯の関係を改善し、下顎の前歯を内側に倒して、最終的に受け口を改善していきます。 |
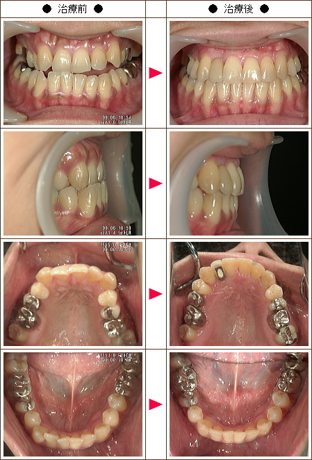
受け口矯正症例[N様 35歳 女性]

| 主訴 | 受け口 |
|---|---|
| 治療方法 | ワイヤー8か月 マウスピース6か月 |
| 治療期間 | 14カ月 |
| 費用(税込み) | 上下ともメタルブラケット132万円 |
| 治療等の主なリスク、副作用 | 下顎の左側方向への顎偏位の為正中は完全には一致しません |
| 治療詳細 | ワイヤーで歯列弓を大きくして、奥歯を後方に動かして上下の前歯の関係を改善し、マウスピースで細かい箇所を改善していきます。 |
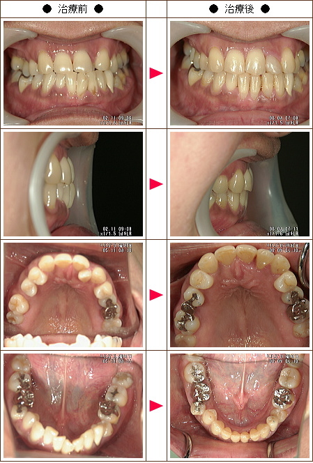
受け口矯正症例[H.T.様 39歳 男性]

| 主訴 | 切端咬合 |
|---|---|
| 治療方法 | ワイヤー7か月 マウスピース6か月 |
| 治療期間 | 13カ月 |
| 費用(税込み) | 上下ともメタルブラケット121万円 |
| 治療等の主なリスク、副作用 | 下顎の前歯にはブラックトライアングルが残る可能性があります |
| 治療詳細 | 他院で矯正治療を進めていましたが、「歯を抜く」と言われて歯を抜きたくないから当クリニックに来院されました。 ワイヤーで歯列弓を大きくして、奥歯を後方に動かして上下の前歯の関係を改善し、マウスピースで細かい箇所を改善していきます。 |
受け口矯正症例[関口様 21歳 男性]

| 主訴 | 受け口、前歯のでこぼこ |
|---|---|
| 治療方法 | ワイヤー9か月 マウスピース5か月 |
| 治療期間 | 14カ月 |
| 費用(税込み) | 上下ともメタルブラケット132万円 |
| 治療等の主なリスク、副作用 | 顎偏位の為正中線は一致しないです |
| 治療詳細 | クワドヘリックスとワイヤーで歯列弓を大きくして、奥歯を後方に動かして上下の前歯の関係を改善し、マウスピースで細かい箇所を改善していきます。 |
受け口矯正症例[笠原様 28歳 女性]

| 主訴 | 受け口、前歯のでこぼこ |
|---|---|
| 治療方法 | マウスピース矯正 |
| 治療期間 | 18カ月 |
| 費用(税込み) | 88万円 |
| 治療等の主なリスク、副作用 | 下顎を後方に引っ張るために矯正中は顎間ゴムを使用していただきます。顎偏位の為正中線は一致しないです |
| 治療詳細 | マウスピースで下顎の奥歯を後方に動かしながら(顎間ゴムを使用)奥歯の関係を改善し、下顎の前歯を内側に倒して、最終的に受け口を改善していきます。 |
