MEDICAL CASE症例集
Scroll
歯のデコボコ矯正の治療症例解説–部分矯正–19歳以下
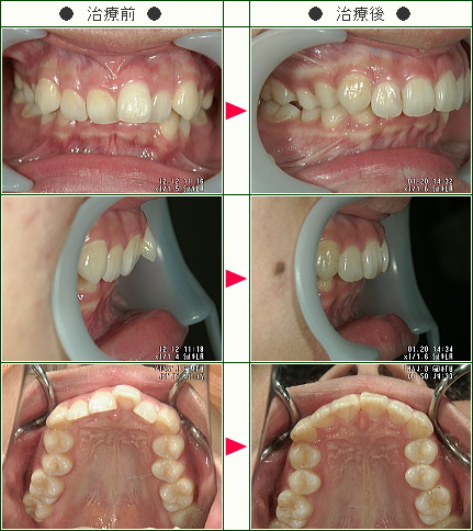
歯のデコボコ矯正症例[Y.T.様 17歳 女性]

| 主訴 | 上の前歯のでこぼこが気になる |
|---|---|
| 治療方法 | マウスピース矯正 |
| 治療期間 | 5カ月 |
| 費用(税込み) | 33万円 |
| 治療等の主なリスク、副作用 | 部分矯正では犬歯の捻転は完全には治りません |
| 治療詳細 |
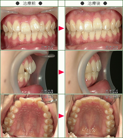
歯のデコボコ矯正症例[富澤様 19歳 女性]

| 主訴 | 上の前歯のでこぼこが気になる |
|---|---|
| 治療方法 | ワイヤー5か月 マウスピース3か月 |
| 治療期間 | 8カ月 |
| 費用(税込み) | 33万円 |
| 治療等の主なリスク、副作用 | 部分矯正では歯を中に入れる際はIPRが必要です |
| 治療詳細 |
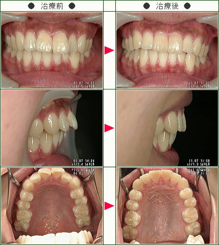
歯のデコボコ矯正症例[S様 16歳 女性]

| 主訴 | 上の前歯のでこぼこが気になる |
|---|---|
| 治療方法 | マウスピース矯正 |
| 治療期間 | 4カ月 |
| 費用(税込み) | 27万5千円 |
| 治療等の主なリスク、副作用 | 部分矯正では歯を中に入れる際はIPRが必要です |
| 治療詳細 |
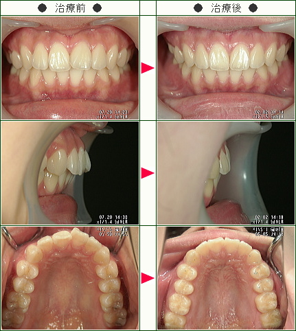
歯のデコボコ矯正症例[かなみ様 18歳 女性]

| 主訴 | 上の前歯のでこぼこが気になる |
|---|---|
| 治療方法 | マウスピース矯正 |
| 治療期間 | 6カ月 |
| 費用(税込み) | 33万円 |
| 治療等の主なリスク、副作用 | 部分矯正では歯を中に入れる際はIPRが必要です |
| 治療詳細 |
歯のデコボコ矯正症例[M.O.様 19歳 女性]

| 主訴 | 上の前歯のでこぼこが気になる |
|---|---|
| 治療方法 | マウスピース矯正 |
| 治療期間 | 4カ月 |
| 費用(税込み) | 27万5千円 |
| 治療等の主なリスク、副作用 | 部分矯正では歯を中に入れる際はIPRが必要です |
| 治療詳細 |
