MEDICAL CASE症例集

Scroll

開口矯正の治療症例解説–全体矯正–20歳から39歳まで

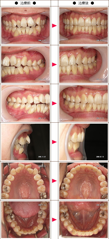
開口矯正症例[福島様 32歳 女性]

主訴 奥歯にものが挟まって歯磨きしずらい、前歯のデコボコ、開口
治療方法 ワイヤー矯正8か月 マウスピース矯正8か月
治療期間 16カ月
費用(税込み) 143万円
治療等の主なリスク、副作用 開口の場合には舌の運動や前歯を使用する運動を習慣化しないと後戻りしやすいです
下顎偏位の場合には、非抜歯矯正では正中線は完全には一致しないです
治療詳細

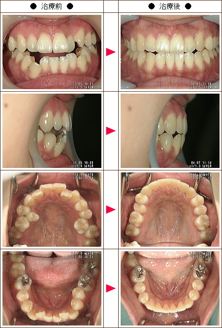
開口矯正症例[小林様 30歳 女性]

主訴 前歯で物が咬めない、話すときに息が漏れる
治療方法 マウスピース矯正
治療期間 9カ月
費用(税込み) 88万円
治療等の主なリスク、副作用 開口の場合には舌の運動や前歯を使用する運動を習慣化しないと後戻りしやすいです
治療詳細

開口矯正症例[ナカノ様 34歳 女性]

主訴 前歯のデコボコ、開口
治療方法 ワイヤー矯正7か月 マウスピース矯正7か月
治療期間 14カ月
費用(税込み) 139万円
治療等の主なリスク、副作用 開口の場合には舌の運動や前歯を使用する運動を習慣化しないと後戻りしやすいです
治療詳細

開口矯正症例[F.Y.様 25歳 男性]

主訴 前歯で物が咬めない、前歯のデコボコ
治療方法 マウスピース矯正
治療期間 12カ月
費用(税込み) 88万円
治療等の主なリスク、副作用 開口の場合には舌の運動や前歯を使用する運動を習慣化しないと後戻りしやすいです
治療詳細